Hinh anh MRI cot song
Thứ Năm, 26 tháng 9, 2013
Thứ Ba, 25 tháng 6, 2013
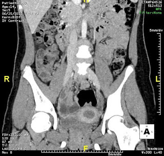
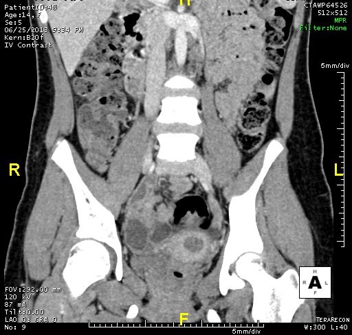
MÀNG TRINH BÍT
Bệnh nhân nữ 14 tuổi. Đau bụng hố chậu (P) 3 ngày, đau liên tục ngày càng tăng.
Tiền sử: Chưa có kinh lần nào.
Chủ Nhật, 16 tháng 6, 2013
Cam kết học giỏi tiếng Anh trong 1 năm
tại lớp học tiếng Anh giao tiếp 360 của HelloChao
Chỉ cần học thử 1 lần, bạn sẽ thấy có
cách giỏi tiếng Anh thật sự. Bạn sẽ nhận ra cách học mà trước nay bạn
biết đã làm mất thời gian, tiền bạc và công sức của bạn như thế nào...
| came | motorbike | little | |||
| most | training | recipe | |||
| line | mind | down | |||
| time | prime | exit | |||
| sit | seat | look |
Sửa âm bản xứ cực kỳ nhanh
Phương pháp đọc tách-ghép âm duy nhất trên thế giới chỉ có tại HelloChao có thể sửa giọng hoàn toàn sau 30 ngày học. Sửa âm được sẽ nghe được. Nguyên nhân không nghe được là do âm của bạn và âm của người bản xứ quá khác nhau.Học câu để nhớ cấu trúc
Hiểu được cấu trúc là hiểu ngay người ta muốn nói gì mà không cần phải nghe hết câu. Từng câu được phân tích cấu trúc rất rõ ràng để bạn có thể nhớ.Bạn cũng thấy có nhiều người nghe rất hiệu quả, chưa nghe hết đã hiểu là do họ thuộc rất nhiều cấu trúc. Học cấu trúc trong câu là đã học ngữ pháp mà không phải học ngữ pháp riêng rẽ.
Học từ vựng để bổ sung vốn từ
Khi có cấu trúc câu, bạn cần vốn từ vựng bổ sung để thay thế vào cấu trúc biến thành hàng trăm câu mới. Đó là cách chế biến đúng câu, chứ không phải theo kiểu “ngôn ngữ chợ búa, tự chế, tự dịch”. Ví dụ, cấu trúc câu “don’t have to walk” có thể kết hợp động từ “drive” để nói “don’t have to drive”Bài tập, bài thi lặp lại giúp nhớ bài lâu và phản xạ nhanh
giúp người học có thể phản xạ nhanh từ và câu bất kỳ trong vòng từ 3-7 giây: NGHE LÀ NHẬN RA NGAY, MUỐN NÓI LÀ NHỚ NGAY. Sở dĩ bạn chưa bao giờ nói được là do muốn nói ý gì bạn cũng không nhớ trong đầu. Người ta nói ra rồi bạn có thể nhớ, nhưng yêu cầu bạn nghĩ ra để nói thì bạn chịu thua. Vậy bài tập, bài thi của HelloChao sẽ giúp bạn lặp lại để nhớ thật nhanh.Học đủ 3000 cấu trúc, 3000 từ vựng thông dụng nhất
Học đủ và lặp lại đến ngưỡng “CÓ” – ngưỡng nhuần nhuyễn để có thể nhớ một câu, một từ bất kỳ trong vòng từ 3-7 giây, ĐẢM BẢO BẠN SẼ NÓI TIẾNG ANH LƯU LOÁT. Toàn bộ nội dung được phân bổ đều trong 360 ngày học trực tuyếnTra từ điển tách-ghép âm trực tiếp trong bài học
Bộ từ điển tách-ghép âm tất cả trong một của HelloChao.vn được tích hợp ngay trong Lớp học tiếng Anh gao tiếp 360, cho phép người học dùng chuột quét chọn một từ hoặc câu bất kỳ trên website để tiến hành tra cứu nghĩa một cách nhanh chóng. Tính năng tra cứu này bao gồm từ điển Anh-Việt, Anh-Anh, Việt-Anh, và cả từ điển câu với hơn 3 triệu cặp câu song ngữ.Phân tích ngữ pháp, luyện nghe đoạn hội thoại, playlist câu thông dụng...
Đây cũng là những công cụ hữu ích trong lớp học, giúp bạn chắc chắn giỏi tiếng Anh trong 1 năm.
Học thử ngày đầu tiên
Thứ Ba, 11 tháng 6, 2013
Công thức nghe nói lưu loát tiếng anh
-
Công thức nghe nói lưu loát
NÓI:
- Phải “nạp” đủ lượng câu đối đáp Small Talk Đó là những câu giao tiếp cực ngắn theo kiểu Mỹ với tần suất sử dụng lên đến 100% trong cuộc sống hàng ngày. Khi học, bạn hãy “diễn” lặp lại (tự đọc to có diễn cảm như đang nói) thường xuyên để ghi nhớ sâu. Việc lặp lại 1 lần tương đương với việc được thực tập nói 1 lần).
- Nạp đủ lượng cấu trúc câu. Đó là những cụm động từ vốn chỉ cần thêm chủ từ và các trạng từ cần thiết là có thể biến thành hàng chục, hàng trăm câu khác nhau. Để học cấu trúc câu hiệu quả, phải học thuộc câu chứa nó.
- Học câu là đã học được mọi thứ trong ngôn ngữ. Khi học câu, bạn hiểu được cách dùng cấu trúc, hiểu được ngữ pháp, học được từ vựng và cách ứng dụng của nó ngoài thực tế.
- Nạp đủ lượng từ vựng cơ bản. Đây là lượng từ dùng để lắp ghép vào các cấu trúc câu đã học bên trên để biến thành nhiều câu từ 1 cấu trúc. Bản thân từ vựng không phải tự chúng có thể lắp ghép lại thành câu bằng ngữ pháp, mà phải thông qua các cấu trúc cụm động từ mới có thể biến đổi thành nhiều câu khác nhau.
- Học thuộc nhuần nhuyễn đến ngưỡng “CÓ”. Ngưỡng “có” được định nghĩa là: nghe là nhận ra ngay, muốn nói là nhớ ngay. Nếu trong vòng 3-7 giây mà bạn không thể nhớ 1 từ hay 1 câu bất kỳ, bạn sẽ không nói được tiếng Anh.
Ta có thể dùng cấu trúc này để biến đổi thành những câu khác như sau:
I got caught in the rain last night.
Tối hôm qua tôi bị mắc mưa.
I don’t like getting caught in the rain.
Tôi không thích bị mắc mưa.
Run quickly or you’ll get caught in rain.
Chạy nhanh lên nếu không bạn sẽ bị mắc mưa đấy.
Còn có thể biến đổi thành rất nhiều câu khác nhau nữa từ cấu trúc trên.
Tất cả kiến thức trên đã được bao hàm đầy đủ trong Lớp học tiếng Anh giao tiếp 360 của HelloChao. Xem và học thử tại đây.
NGHE:
Hãy đọc bài “Hướng dẫn học giỏi tiếng Anh của Thầy Phạm Việt Thắng” để nắm rõ cách học giỏi tiếng Anh. Phàm điều gì trong cuộc đời cũng phải tìm ra cách làm đúng mới có thể có kết quả đúng. Tiếng Anh lại càng phải nhận ra cách làm đúng ngay từ đầu để không phải lãng phí nhiều năm, nhiều công sức và tiền của từ trước đến giờ.- Bạn phải học mọi thứ trong phần NÓI bên trên sao cho đạt được ngưỡng “CÓ”. Vì nếu bạn không nhớ câu từ trong vòng vài giây sau khi nghe thì xem như bạn không thể nghe được.
- Học cấu trúc câu để nhận ra ý người nói trong khi nghe. Người bản xứ không nghe từng từ, mà nghe thông qua việc hiểu cấu trúc. Khi hiểu cấu trúc và biết rõ nghĩa của cấu trúc đó, thì lúc nghe bạn hiểu được ngay và tất cả bạn chỉ cần lắng nghe là thêm 1 vài từ nữa là hiểu tất cả.
- Luyện tập âm chuẩn bản xứ thì mới nghe được giọng bản xứ. Nếu giọng của bạn quá xa lạ với giọng bản xứ thì bạn sẽ không thể nghe được gì, trừ những từ bạn đã quá quen. Điều này cũng giống như bạn là người miền Tây Nam Bộ, lần đầu tiên ra Huế hay Quảng Nam, Quảng Trị… thì bạn sẽ không thể nghe họ nói và họ cũng chẳng hiểu bạn nói gì. Tập âm rất dễ vì đã có phương pháp đọc-tách ghép âm đặc biệt của HelloChao. Nhưng nếu bạn không tập âm mà ngồi luyện nghe, thì đôi khi 5 năm bạn cũng chưa nghe được.
- Hội đủ các phần trên và học đến ngưỡng “CÓ” thì bạn mới có thể nghe được.
Học thử ngày đầu tiên
Thứ Tư, 6 tháng 3, 2013
TIẾN TRIỂN VÀ BIẾN CHỨNG VIÊM GAN B MÃN
TIẾN TRIỂN VÀ BIẾN CHỨNG
Phân độ hôn mê gan:
0: Bình thường.
1: Giảm độ tập trung, quá vui, hồi hộp lo sợ.
2: Buồn ngủ, rối loạn định hướng, thay đổi cá tính.
3: Ngủ gà ngủ gật, lơ mơ.
(Tổng hợp kiến thức cập nhật mới nhất hiện nay trên thế giới về điều trị viêm gan B: Thông tin từ hội nghị gan mật và hội nghị tiêu hóa Hoa Kỳ, Châu Âu, Châu Á Từ 2005 - 2009 , cập nhật từ tài liệu của BS. Phạm Thị Thu Thủy thành viên hội gan mật Hoa Kỳ)
V - TRIỆU CHỨNG :1/ Tóm tắt bệnh án:
BN
nam ( nữ) x tuổi, có tiền sử nghiện rượu …; bệnh diễn biến thành từng
đợt đã x tháng ( năm) nay, vào viện với lý do mệt mỏi , chán ăn, đau
tức hạ sườn phải. qua thăm khám thấy các H/C, T/C sau:
*H/C suy chức năng gan:
+ Toàn thân:
mệt mỏi, gầy sút cân, đau đầu, ngủ kém, trí nhớ giảm, chảy máu cam ,
chảy máu chân răng, xuất huyết dưới da, vàng da, củng mạc mắt vàng,da
khô, lông tóc dễ rụng, móng dễ gãy.có thể có phù.
+ RLTH: chán ăn sợ mỡ, đầy bụng khó tiêu, đi ngoài phân lỏng,nát ,đi nhiều lần trong ngày.
+ CLS: - XN máu HC giảm,HST giảm, TC giảm.
- Tỷ lệ prothrombin giảm < 75%
Thời gian Quick > 12s , kohler(-).
- Albumin giảm, tỷ lệ A/G< 1.
- Tỷ lệ cholesterol ester/ cholesterol tp giảm< 55%
( bt > 65%)
- BSP(+) ( Hồng ben gan) sau 45p > 5%
- NH3 tăng> 30 àmol/l.
- Galactoza niệu(+)
- Bilirubin tp tăng, GT tăng, TT tăng.
*Thay đổi hình thái gan :
- LS : Gan to, mật độ chắc, bờ sắc, mặt nhẵn, ấn đau tức.
- SA: Nhu mô thô, tăng âm, kt gan nở lớn , bờ gan có thể lợn gợn
Chiều cao gan phải > 12cm
Chiều cao gan trái > 9cm
- Soi OB và sinh thiết ( chẩn đoán xác định):
+ khối lượng tăng, mật độ tăng, bờ gan vểnh, sắc, trên mặt gan xh sẹo lõm dưới mặt gan (bằng đầu đinh gim)
+ lách to lấp ló bờ sườn.
*H/C hủy hoại tb gan .( xh trong đợt hoạt động)
-
SGPT ( Serum Glutamin pyruvat Transaminase) hoặc ALT (Alanin
transaminase). tăng cao trong VGVR, Đánh giá tình trạng tổn thương tế
bào nhu mô gan.
-
SGOT(Serum Glutamin Oxaloaxetic Transaminase) hoặc AST (Aspartat
transaminase), tăng cao trong VG tự miễn, đánh giá mức độ tổn thương ở
ty thể tế bào nhu mô gan
-
SGGT(Serum Gamma Glutamyl Transferase): tăng cao trong VG do rượu, Có
giá trị đánh giá tình trạng ứ mật ở gan vì nó rất nhạy cảm với tình
trạng ứ mật. Vận chuyển aminoacid qua màng tế bào
- Chỉ số Deritis= SGOT/SGPT < 1.
*H/C viêm gan vàng da ứ mật.
- Da vàng , củng mạc mắt vàng,
- Bilirubin TP tăng, TT tăng, GT tăng, Phosphataza kiềm tăng khi có tắc mật.
*Triệu chứng ngoài gan:
Mất kinh, ỉa lỏng có máu, đau bụng, đau khớp, tràn dịch phế mạc, viêm tâm mạc, suy thận, khô miệng, khô giác mạc.
2 – Các xét nghiệm chẩn đoán:
2.1. Huyết học:
NGFL: Tiểu cầu giảm trong xơ gan
Tỉ prothrombin giảm trong xơ gan
2.2. Sinh hóa:
ALT (SGPT), AST (SGOT)
Tăng 1-5 lần mức bình thường. Tăng 10-100 lần: viêm gan đợt cấp.
ALT cao hơn AST, chỉ số De Ritis AST/ALT < 1
GGT (gamma glutamyl transpeptidase)
Tăng 1-3 lần mức bình thường.
2.3. Siêu âm bụng: Gan thường hơi thô, thô.
2.4. Sinh học phân tử:
HBVDNA (phương pháp PCR) Dương tính: SVB nhân đôi, khả năng lây cao
10% HBVDNA được phát hiện trong huyết thanh và40% trong tế bào gan ở bệnh nhân viêm gan mạn HBsAg(-)
80% trong HCC/xơ gan mà HBsAg(-)
Genotypes HBV: có 8 nhóm: A, B, C, D, E, F, G, H trong đó nhóm C dễ ung thư gan. Việt Nam thường gặp nhóm B, C.
2.5.Miễn dịch:
- XN: HBsAg (Hepatitis B surface Antigen kháng nguyên bề mặt) Đây là kháng nguyên xuất hiện sớm nhất trong huyết thanh sau khi nhiễm VRVG B:
HBsAg
(+) Báo hiệu một người đã bị nhiễm HBV ( HBsAg (+) > 6 tháng ->
người mang KN mạn tính) -> Nghi do VRVGB gây bệnh vì có thể do các
VRVG khác
=>
Muốn khẳng định phải làm các Marker (là dấu ấn của VR trên bề mặt cơ
thể) các VRVG và làm XN các mức độ hoạt động của VRVGB:
+ HBeAg và Anti HBe:
- HBeAg( Hepatitis B evolope Antigen KN vỏ nhõn của VRVGB
): Là KN xuất hiện sớm thứ 2 sau HbsAg. HBeAg (+) Nói lên VR đang thời
kỳ phát triển và nhân lên , Bệnh đang thời kỳ lây lan mạnh
- Anti Hbe ( Hepatitis B evolope AntibodyAnti Hbe (+) trong huyết thanh thì nói lên cơ thể đã có đáp ứng MD một phần và đã bước sang giai đoạn chuyễn đão huyết thanh,
ý nghĩa:
Sự cú mặt của HBeAg cựng với HBV-DNA trong huyết thanh phản ỏnh tỡnh
trạng đang nhân lên của VR và là thời kỳ lây lan mạnh. HBeAg là KN phản
ánh chất lượng cũn HBV-DNA là KN phản ỏnh số lượng của quá trỡnh nhõn
lờn của HBV
+ HBV-DNA
là Acid nhân của VRVGB phản ánh sự nhân lên của VR : Là XN chính xác
nhất . Phát hiện HBV – DNA trong huyết thanh bằng phản ứng khuếch đại
gen PCR.
- HBV-DNA (+) > 105 copies/ml (cpm) : chứng tỏ VR đang hoạt động.
- HBV-DNA (-) , thấp : Nghi ngờ doạt động thấp
DNA polymerase: nằm trong nucleocapsid nhân của HBV. Nó điều khiển sự sao chép và thay đổi của HBV-DNA
*
Chú ý: Ta không thể làm hết tất cả các Marker vì vậy chỉ cần làm 2
Marker : HBV- DNA và HBeAg là có thể chẩn đoán chắc chắn VRVGB gây bệnh
VG cho BN.
2.6. Sinh thiết gan làm GPBL ( tiêu chuẩn vàng).
+ 5 tổn thương đặc trưng của HBV:
- Viêm nhiễm khoảng cửa.
- Có nhiều thể Councilman.
- Tế bào đa dạng (Mosaic part tern).
- Xuất hiện tế bào gương (Ground glass cell).
- Tế bào kupfer tăng sinh.
Thể Councilman:
do hoại tử axit hình thái của tế bào bị biến đổi nhỏ lại, nhăn nhúm,
nguyên sinh chất thoái hoá kính mất hết các hạt nên bắt màu đỏ đậm,
nhân bị đông rồi mất đi, tế bào bị tách khỏi tế bào bên cạnh, bị tế bào
kupffer vây quanh để thực bào hình thái này giống tổn thương mà
Coucilman mô tả trong bệnh số vàng nên gọi là thể C (Councilman).
Tế bào đa dạng:
có những tế bào phình to, có những tế bào tổn thương axit, thoái hoá
axit tiến đến tự tiêu để lại tổ chức liên kết nên xẹp lại tạo ra các
cầu nối giữa khoảng cửa và tĩnh mạch trung tâm.
Tế bào gương:
thường (+) với HBsAg(+) là do lưới nội nguyên sinh chất phát triển
trong đó có chứa những thành phần 20-30mm có hình ống và hình tròn được
xem là thành phần của HBsAg.
+ Viêm gan mạn tồn tại:
Chủ
yếu là viêm khoảng cửa (khoảng cửa rộng ra) tế bào viêm xâm nhập gồm:
đơn nhân, lớp tế bào giới hạn của khoảng cửa vẫn còn không có tổn
thương hoại tử kiểu mối gậm, có thể có hiện tượng xơ hoá ít, không có
biểu hiện xơ gan.
Chẩn
đoán căn nguyên: dựa vào 5 tổn thương đặc trưng của HBV và miễn dịch
huỳnh quang tế bào hay huyết thanh học để phát hiện HBsAg trên màng tế
bào gan, HBcAg trong nhân tế bào gan.
+ Viêm gan mạn tiến triển:
-
Tổn thương khoảng cửa, phát triển vào trong tiểu thuỳ gan sự xâm nhiễm
các tế bào viêm, tế bào lympho, tương bào. Đường mật nhỏ tăng sinh,
khoảng cửa rộng ra.
-
Hoại tử các tế bào gan ở rìa khoảng cửa của lớp tế bào giới hạn ở rìa
khoảng cửa bị phá huỷ từng chỗ tạo thành hình ảnh như mối gặm (piece
meal necroisis).
- Nội thuỳ gan có hoại tử từng ổ quanh tĩnh mạch trung tâm biểu hiện tái tạo của gan xếp thành hình hoa hồng hay giả tuyến.
- Các vách ngăn mô liên kết lan toả như các ngón tay từ khoảng cửa vào sâu trong nội thuỳ gan.
- Có thể trên cùng mẫu sinh thiết thấy hình ảnh VGMTT và cả xơ gan tuy nhiên chưa có xơ vòng và nhân tái sinh.
+ Xơ gan thường xảy ra sau 12-18 tháng kể từ khi bị viêm gan B.
- Xơ gan có hòn tái tạo không đều.
. Có xơ vòng và cục tái tạo.
. Có 5 tổn thương đặc trưng của HBV trong đó đặc trưng nhất là tế bào gương.
2.7 - Máy FibroScan:
Đây
là máy siêu âm đặc biệt đo độ đàn hồi của mô gan , qua hệ thống sử lý
số liệu vi tính , sẽ cho biết mức độ tổn thong mô học của gan mà không
cần phải sinh thiết gan. Kỹ thuật này nhanh , gọn , chỉ cần mất 10 phút
khám bệnh nhân và bệnh nhân không hề đau noun như sinh thiết gan.
VI – CHẨN ĐOÁN:1 – Chẩn đoán viêm gan B mạn:
+ Chẩn đoán người mang HBV mạn không hoạt động (tương đương phase 1)
- HbsAg dương tính > 6 tháng
- HBeAg (-), Anti HBe (+), IgG tăng cao
- HBV DNA < 4log10 cpm hoặc < 2000 UI/ml (UI( Unit International)),
- ALT( SGPT )bình thường kéo dài
- Sinh thiết gan HAI =<3 điểm
+ Chẩn đoán viêm gan B mạn hoạt động
- HbsAg dương tính > 6 tháng
-
Viêm gan nhân lên ở mức độ cao hay phase 2 (HbeAg (+), HBV DNA >
5log10 cpm) hoặc thấp hay phase 3( HbeAg (-) , HBV DNA từ 2000 – 20.000
UI/ml)
- ALT( SGPT ) tăng > 2 lần BT, tăng từng đợt và kéo dài> 6 tháng
- Sinh thiết gan HAI mức hoạt động nhẹ, vừa, nặng
2. Tiêu chuẩn chẩn đoán và tư vấn điều trị:
Phân
tích tình trạng bệnh lý siêu vi gan B cũng như giai đoạn viêm gan rất
phức tạp. Tuy nhiên rất quan trọng trong sự quyết định điều trị hay
không, giúp tư vấn cho người bệnh về tỷ lệ nguy cơ xơ gan và ung thư
gan.
Viêm gan siêu vi B mạn được xác định khi HBsAg (+) trên 6 tháng. Phân loại như sau:
1. Người mang HBV: (HBV carrier)
Tiêu chuẩn: ALT < 2 lần giá trị bình thường
HBVDNA < 10.000 copies/ml đối với HBeAg (-)
< 100.000 copies/ml đối với HBeAg (+)
Không điều trị.
Theo dõi: ALT, HBeAg, AntiHBe, HBVDNA, SAB/3 tháng
2. Dung nạp miễn dịch: (Immune Tolerant)
Tiêu chuẩn: ALT < 2 lần giá trị bình thường
HBVDNA > 10.000 copies/ml đối với HBeAg (-)
> 100.000 copies/ml đối với HBeAg (+)
Điều trị:
a) < 40 tuổi : Không điều trị.
Theo dõi: ALT/1 tháng, HBeAg, AntiHBe, HBVDNA, SAB/3 tháng
b)
> 40 tuổi. ALT tăng dai dẵng. Tiền sử gia đình có HCC. Sinh thiết
gan nếu có viêm trung bình, nặng, xơ hóa, điều trị như VGBMHĐ.
3. Viêm gan B mạn hoạt động: (Chronic Active Hepatitis B)
Tiêu chuẩn: ALT >= 2 lần giá trị bình thường
HBVDNA > 10.000 copies/ml đối với HBeAg (-)
> 100.000 copies/ml đối với HBeAg (+)
Điều trị:
a) Interferon/Peg Interferon: 24 tuần đối với HBeAg (+)
48 tuần đối với HBeAg (-).
b) LAM, ADV, ETV =<1 năm
Theo dõi: ALT, HBeAg, AntiHBe, HBVDNA, SAB/3 tháng.
Kết thúc điều trị: (End of treatment)
a) Đối với HBeAg (+): ALT bình thường, chuyển đổi huyết thanh AntiHBe (+). HBVDNA (-) 4 lần liên tiếp.
b) Đối với HBeAg (-): AntiHBe (-) (đột biến promoter) không xác định được thời gian, điều trị cho đến khi HBsAg (-).
Sau
khi ngừng điều trị theo dõi ALT, HBeAg, HBVDNA, SAB/mỗi 3 tháng năm
đầu. Nếu đáp ứng bền vững, tiếp tục theo dõi mỗi 6 tháng các năm tiếp
theo.
4. Viêm gan B mạn không hoạt động: (Chronic Inactive Hepetitis B)
Tiêu chuẩn: ALT =< 2 lần giá trị bình thường
HBVDNA < 10.000 copies/ml đối với HBeAg (-)
< 100.000 copies/ml đối với HBeAg (+)
Điều trị: bảo vệ tế bào gan (Silymarin)
Theo dõi: ALT/1 tháng, HBeAg, AntiHBe, HBVDNA, SAB/3 tháng
* Diễn biến các macker:
- HBsAg
(+) kéo dài liên tục trong suốt quá trình bệnh và có khi là suốt đời.
Chỉ một số bệnh nhân được điều trị tích cực thì HbsAg có thể mất
- HBeAg:
(+) kéo dài, ở bn VG B mạn tính khi cả 2 macker HBsAg và HBeAg dương
tính trong huyết thanh là báo hiệu một tiên lượng không tốt, HBV vẫn
tồn tại và nhân lên mạnh bệnh sẽ tiến triển ngày càng nặng thêm
- Anti-HBs luôn (-) chừng nào bệnh nhân chưa được điều trị khỏi và HBsAg chưa về âm tính
- Anti-HBe: Nếu có Anti-HBe(+) là dâú hiệu tốt; Nếu có HBeAg (-) và Anti-HBe(+) gọi là chuyển đảo huyết thanh
- Anti-
HBc-IgM: thường âm tính, trong những đợt tiến triển cấp tính của VGB
mạn Anti-HBc-IgM có thể xuất hiện với nồng độ không cao
- Anti-HBc-IgG: hằng định ở mức cao và là macker có giá trị chẩn đoán1/ Tiến triển :VII - TIẾN TRIỂN & BIẾN CHỨNG:
Hậu quả có thể có của nhiễm virus viêm gan B:
Tỷ
lệ bệnh nhân nhiễm vius viêm gan siêu vi B trở thành bệnh viêm gan
siêu vi B mãn tính thay đổi tuỳ theo tuổi mắc phải vius (1). Nhiễm
virus chu sinh thường trở thành mãn tính, nhưng nhiễm virus sau 2 tuổi
thường tiến triển cấp tính, ngoại trừ những bệnh nhân suy giảm miễn
dịch như ghép cơ quan, nhiễm HIV . những bệnh nhân này có nguy cơ nhiễm
virus mãn tính cao.
Các bệnh lý kèm theo nhiễm virus viêm gan siêu vi B (HBV)
Khi
bị nhiễm HBV đa số trở thành bệnh nhân VGB cấp nhưng chỉ có 25% bệnh
nhân nhiễm HBV giai đoạn cấp là có biểu hiện lâm sàng và có thể được
chẩn đoán và điều trị. Số còn lại không có biểu hiện lâm sàng. Số ít
bệnh nhân này phát hiện được do tình cờ đi khám làm XN thấy men
transaminase tăng cao và sau đó kiểm tra các macker HBV thấy dương tính.
Còn lại hầu hết bệnh nhân tiến triển âm thầm rồi tự khỏi nếu sức đề
kháng của cơ thể tốt, HBV sẽ được loại ra khỏi cơ thể, người bệnh có
kháng thể bảo vệ lâu dài. Một số bệnh nhân có miễn dịch đáp ứng kém sẽ
trở thành người mang HBV mạn tính. Trong số 25% người nhiễm HBV có biểu
hiện lâm sàng viêm gan cấp sẽ có 90 -95% khỏi bệnh, 5-10% sẽ diễn biến
kéo dài hoặc bằng các đợt tái phát và trở thành bệnh nhân viêm gan B
mạn tính. Trong giai đoạn viêm gan B cấp khoảng 1% diễn biến nặng với
hoại tử gan lan tràn thành thể ác tính. Bệnh nhân viêm gan mạn tính
tiến triển theo 2 cách:
- Dai
dẳng thầm lặng không có những đợt bột phát, quá trình viêm và hoại tử
hạn chế. Đó là thể viêm gan B mạn tồn tại. Nếu sức đề kháng tốt bệnh
nhân có thể tự khỏi về lâm sàng để trở thành người mang virus lành tính
mạn tính. Một số trường hợp sức đề kháng kém hoặc do điều kiện lao
động nặng, ăn uống thiếu thốn.. quá trình viêm và hoại tử tế bào gan
tăng lên, tiến triển nhiều đợt và chuyển thành viêm gan mạn hoạt động.
- Tiến
triển dai dẳng nhưng có những đợt bùng phát với các triệu chứng có thể
rầm rộ như VG B cấp và sau đó lại xen kẽ với những thời gian thầm lặng
, quá trình viêm và hoại tử tế bào gan là nặng nề. Đó là thể viêm gan
mạn tấn công
2/ Biến chứng:
- Xơ gan
- Cổ trướng, THBH.
- Vàng da
- H/C gan - não
- Chảy máu tiêu hóa
- K gan ( nguyên phát HCC).
- Thiếu máu
- Đái đường
- Sỏi mật
- Giảm tình dục
- Viêm loét dd-htt
- Rối loạn đông máu
- Nhiễm trùng nhiễm độc
- Nội tiết: vú to, rụng tóc.
- Da lòng bàn tay đỏ, nốt ruồi xám, lưởi đỏ, móng tay chân dễ gảy, lông tóc dễ rụng.
Những biến chứng hay gặp nhất là: xơ gan, bệnh não do gan, cổ trướng và chảy máu tiêu hoá.
Khi
không có những biến chứng trên đây và xơ gan được chứng minh bằng mô
bệnh học, lúc đó gọi là xơ gan còn bù. Khi có những biến chứng trên thì
gọi là xơ gan mất bù.
Cổ trướng
xảy ra từ từ, liên tục cùng với sự tiến triển của xơ gan. Nước cổ
trướng có thể bị nhiễm khuẩn. Cổ trướng nặng, to thì có thể chèn ép vào
các tạng trong ổ bụng và gây khó thở.
Vàng da
là biểu hiện của tình trạng suy gan, của tình trạng bài tiết của tế
bào gan, do đó bilirubine trực tiếp tăng là chủ yếu. Có nhiều yếu tố
gây vàng da, trong đó nhiễm khuẩn là một yếu tố quan trọng góp phần gây
vàng da (nhiễm trùng ổ bụng, viêm đường mật...) hội chứng gan thận,
hoặc các thể huyết tán cũng góp phần gây vàng da.
Bệnh não do gan:
có nhiều giả thiết giải thích về bệnh này, nhưng nguyên nhân chung
nhất và quyết định nhất là lượng protein máu thấp, protein được chuyển
hoá ở gan. Một số nguyên nhân thuận lợi để thúc đẩy bệnh não do gan dễ
xảy ra: chảy máu tiêu hoá, nhiễm trùng, rối loạn cân bằng kiềm toan
máu, một số thuốc, đưa nhiều đạm vào cơ thể.
Phân độ hôn mê gan:
0: Bình thường.
1: Giảm độ tập trung, quá vui, hồi hộp lo sợ.
2: Buồn ngủ, rối loạn định hướng, thay đổi cá tính.
3: Ngủ gà ngủ gật, lơ mơ.
4: Hôn mê.
Chảy máu tiêu hoá:
hậu quả của tăng áp lực tĩnh mạch cửa gây dãn tĩnh mạch thực quản hoặc
vùng đáy dạ dày. Đôi khi chảy máu do rối loạn đông máu. Xơ gan càng
nặng thì biến chứng này càng nhiều.
ĐIỀU TRỊ VIÊM GAN B MẠN
ĐIỀU TRỊ VIÊM GAN B MẠN
A - ĐIỀU TRỊ CHUNG CHO CÁC TRƯỜNG HỢP VGM
(Tổng hợp kiến thức cập nhật mới nhất hiện nay trên thế giới về điều trị viêm gan: Thông tin từ hội nghị gan mật và hội nghị tiêu hóa Hoa Kỳ, Châu Âu, Châu Á Từ 2005 - 2009 , cập nhật từ tài liệu của BS. Phạm Thị Thu Thủy thành viên hội gan mật Hoa Kỳ)
VIII - ĐIỀU TRỊ :
1/ Chế độ nghỉ ngơi, ăn uống ( quan trọng nhất)
- Trong đợt hoạt động BN cần được nằm viện, bất động,
- Chế độ ăn: đủ chất , hợp khẩu vị, đủ calo( 2500-3000calo) nhiều đạm( 100g/24h), nhiều sinh tố, hạn chế mỡ. Hạn chế đạm khi có h/c gan- não.
2/ Thuốc : ( Liệu pháp bệnh gan cơ sở(05 nhóm thuốc))
2.1/ HTN ngọt ưu trương 5%,10%,30%.
+ T/d: - Tăng nuôi dưỡng
- Giải độc gan bằng thẩm thấu.
- Cho gan nghỉ ngơi
- Lợi tiểu
- Pha thuốc
* Duphalac : gói 15ml chứa 10g lactulose.hộp 10; 20 gói,.
+ TD : nhuận tràng thẩm thấu, hạ NH3 huyết.
+ CCTD: sự hấp thu NH3 ở ruột phụ thuộc vào độ pH
Lactulose thủy phân bởi các enzym của vi khuẩn đường ruột thành các acid hữa cơ, gây giảm pH ở đoạn kết tràng .
Mặt khác trong mt acid NH3 ->NH4 không khuếch tán được vào máu .
+ TDP : Chướng bụng , phân lỏng; ngứa, đau hậu môn.
+ CĐ : Táo bón , h/c gan não.
+ CCĐ :- Viêm thực thể đường ruột
- H/C bán tắc, tắc ruột.
- Đau bụng không rõ nguyên nhân
- Liều lượng& cách dùng:
Uống 1- 3 gói/24h tùy theo lứa tuổi.
Giảm liều khi có tiêu chảy
2.2/ Thuốc giải độc tb gan :
*Arginin -> tác động trực tiếp vào vòng urê:
+Eganin: viên 200mg.
- Chỉ định : VGC, VGM, gan nhiễm mỡ, suy gan, xơ gan
- Liều: 200mg x 2viên/24h ; chia làm 2 lần uống sau bữa ăn
*Sarganin x 2v/24h
+Aspactat -> kích hoạt vòng urê hoạt động.
- BD : Hepa-Merz, Ornityl, Helpovin, Philospa, Partopa, Helivin, Hepadif
*Hepa- Merz: + cốm pha dd uống: gói 5g, hộp 10 gói;
+ dd tiêm truyền : ống 10ml, hộp 5 ống
+ dd tiêm: ống 5ml, hộp 10 ống.
+ T/d: Hepa- Merz kích thích quá trình khử độc NH3 bằng cách làm tăng quá trình tổng hợp urê trong chu trình urê, và loại trừ NH3 ngoài gan từ các mô, do vậy có t/d giải độc bảo vệ tb gan .
Hepa- Merz còn tạo năng lượng dưới dạng ATP -> từ đó cải thiện cân bằng năng lượng của gan bệnh.
+ T/d phụ :RLTH nhẹ: nôn , ói ( không cần ngừng thuốc)
+ Chỉ định :
- Tăng NH3 huyết trong các bệnh gan: VG, XG, gan nhiễm mỡ, h/c não- gan.
- suy tb gan -> bh toàn thân: ngứa, chán ăn, nổi mề đay
- điều trị khởi phát tiền hôn mê gan , hôn mê gan
+ Chống chỉ định: suy thận
+ Liều lượng & cách dùng:
- Dạng uống: mổi lần 1-2 gói, 1-3 lần /24h. hòa với nước, trà , nước trái cây .
- Dạng tiêm truyền: VGC : 1-2 ống /24h
VGM, XG: 2-4 ống /24h.
Trường hợp nặng thì tăng liều
Tiền hôn mê, hôn mê gan: có thể dùng 8 ống /24h
Không truyền quá 6 ống / 500 ml dịch truyền.
Cần theo giõi nồng độ urê trong huyết tương và nước tiểu
- Dạng tiêm : 2 ống/ 24h x 3-4 tuần
Helivin x 4v/24h
Hepadif x 4v/24h
Phylospa x 4ô/24h
2.3/ Thuốc bảo vệ tb gan, tăng chuyển hóa tb gan:
*-BDD( Biphenyl-Dimetyl-Decarboxylat)
Bd: Oruton, fortex, RB 25; Omitan; Grocel
- TD: Bảo vệ tb gan khi bị tổn thương.
Cải thiện chức năng gan; giải độc; ức chế phát triển của khối U Gan; Tăng cường đáp ứng miễn dịch.
- CĐ: Điều trị dự phòng viêm gan.
Điều trị các chứng RL chức năng gan.
- LL&CD: 25mg x 4viên/50kg/24h x4-12 tuần
* -Silymarin/ Silybin:
-BD: légalon, carsil
-liều: viên bao 70mg uống lần 2v x 2-3lần/24h x4-12 tuần
+Legalon : viên bao 70mg, hộp 40 viên
-T/d: Silymarine có t/d bảo vệ tb gan , chức năng cấu trúc xung quanh và bên trong tb gan; giúp gan hoạt động tốt hơn, tăng hiệu quả thải độc.
-T/d phụ: tiêu chảy, dị ứng( hiếm gặp)
- Chỉ định: RLTH trong các bệnh gan.
liều lượng & cách dùng:
Uống lần 2viên x 2-3 lần/24h
Ưu tiên cho VGMT do rượu
*- Phylathus:
-B/d: amarus, Nirani
*- Phosphatidincholin: livolin
- TP: Phosphatidyl cholin 175mg, Vitamin B1,10mg,B2 3mg, B12 5mg, E 10mg, PP 15mg.
- TD: Bảo vệ , tái tạo tb gan khi tb gan bị tổn thương do VR, Rượu, thuốc…; Điều trị RL CN gan; Giảm tích mỡ máu ở gan.
- LL&CD: 175mg x 4 viên /24h uống s,c sau bữa ăn.
*Cigenol( bảo vệ tb gan) : 3 viên /24h , chia làm 3 lần
*Leverteen( sudo-Korea) : 2 viên /24h
2.4/ Bù Albumin:
CĐ:Khi nồng độ Albumin dưới 35g
+Human Albumin: Lọ 5g,10g x 1tuần
Truyền TM chậm 1ml/1p =19 giọt/ p, không truyền nhanh vì gây sốc -> chết đuối trên cạn vì tăng thể khối tuần hoàn, gây phù phổi cấp
+Morihepamin:
- dịch truyền Acid amin cho BN suy gan, cải thiện h/c não- gan
- ccđ: suy thận , RLCH acid amin
- liều : túi 500ml truyền TM chậm trong 3h
+Methionin : 0,25g x 4viên chia làm 2 lần s,c.
2.5 / Sinh tố: vitamin B1,Vitamin C( Acid Ascorbic)
Vitamin C( Acid ascorbic) : có tác dụng: Acid Ascorbic làm tăng tổng hợp Glycogen dự trữ trong gan và làm tăng chức năng chống độc của gan.
tham gia vào cấu trúc collagen nên đóng vai trò quan trọng trong việc giữ trạng thái bình thường của mao mạch, bảo đảm tính đàn hồi của chúng , thiếu acid ascorbic thì mao mạch dễ bị vỡ-> xuất huyết. Acid Ascorbic có tác dụng điều hòa quá trình chuyễn hóa của Cholesterol và do đó tác dụng phòng bệnh xơ vữa động mạch (một trong những nguyên nhân gây ĐQN) .Acid Ascorbic làm tăng sức đề kháng với sự nhiễm trùng và tăng sức chịu đựng của cơ thể đối với các yếu tố bất lợi của môi trường. Acid Ascorbic thúc đẩy quá trình biến đổi acid folic thành acid folinoic, tham gia tổng hợp và trao đổi các Hormon steroit của tuyến thượng thận,
B - ĐIỀU TRỊ VGB MẠN:
1 - Mục đích điều trị viêm gan siêu vi B mạn tính:
Những mục đích điều trị của viêm gan siêu vi B mãn tính còn bù gồm:
- Cải thiện tình trạng viêm hoại tử tê' bào gan, ngăn ngừa liên triến bệnh gan - Nhiều bệnh nhân phát triển biến chứng hoặc tử vong vì hậu quả của bệnh gan do nhiễm virus viêm gan B mãn tính, vì vậy, tầm quan trọng hàng đầu trong điều trị là cải thiện hậu quả của bệnh gan
- Đạt được kiếm soát về mặt miễn dịch thông qua phản ứng chuyển huyết thanh
HBeAg và/hoặc HBsAg - Đối với những bệnh nhân có virus sao chép liên tục thì việc điều trị sẽ là phương tiện kiểm soát được bệnh gan mặc dù điều này chỉ đạt được ở một thiểu số bệnh nhân với điều trị hiện nay.
- ức chê' sao chép virus - Bởi vì bệnh gan xảy ra là do hậu quả của sao chép virus trong gan, vì vậy ức chế sao chép virus sẽ đem lại cơ hội cải thiện bệnh gan, kiểm soát miễn dịch và có thể giảm nguy cơ lây truyền.
- Cải thiện chất lượng cuộc sống qua việc giảm các triệu chứng, đặc biệt đối với những bệnh nhân có biểu hiện ngoài gan.
2 - Chỉ định điều trị :
Phân tích tình trạng bệnh lý siêu vi gan B cũng như giai đoạn viêm gan rất phức tạp. Tuy nhiên rất quan trọng trong sự quyết định điều trị hay không, giúp tư vấn cho người bệnh về tỷ lệ nguy cơ xơ gan và ung thư gan.
Viêm gan siêu vi B mạn được xác định khi HBsAg (+) trên 6 tháng. Phân loại như sau:
BN có XN HbsAg (+):
+ XN: BHV DNA >= 104copies/ml (cpm) ( 4log10cmp) là mốc chỉ định điều trị bệnh nhân viêm gan B có HbeAg (-)
+ HBV DNA >=105copies/ml (cpm) ( 5log10cmp) là mốc chỉ định dùng từ một thuốc kháng virus trở lên khi HbeAg (+)
+ HBV DNA > 107copies/ml (cpm) ( 7log10cmp) và HbeAg (+) không nên dùng Lamivudin hoặc Adefovir đơn thuần mà phải kết hợp nhiều loại.
* Cụ thể chỉ định và điều trị như sau:
1. Người mang HBV: (HBV carrier)
Tiêu chuẩn: ALT < 2 lần giá trị bình thường
HBVDNA < 10.000 copies/ml đối với HBeAg (-)
< 100.000 copies/ml đối với HBeAg (+)
Không điều trị.
Theo dõi: ALT, HBeAg, AntiHBe, HBVDNA, SAB/3 tháng
2. Dung nạp miễn dịch: (Immune Tolerant)
Tiêu chuẩn: ALT < 2 lần giá trị bình thường
HBVDNA > 10.000 copies/ml đối với HBeAg (-)
> 100.000 copies/ml đối với HBeAg (+)
Điều trị:
a) < 40 tuổi : Không điều trị.
Theo dõi: ALT/1 tháng, HBeAg, AntiHBe, HBVDNA, SAB/3 tháng
b) > 40 tuổi. ALT tăng dai dẵng. Tiền sử gia đình có HCC. Sinh thiết gan nếu có viêm trung bình, nặng, xơ hóa, điều trị như VGBMHĐ.
3. Viêm gan B mạn hoạt động: (Chronic Active Hepatitis B)
Tiêu chuẩn: ALT >= 2 lần giá trị bình thường
HBVDNA > 10.000 copies/ml đối với HBeAg (-)
> 100.000 copies/ml đối với HBeAg (+)
Điều trị:
a) Interferon/Peg Interferon: 24 tuần đối với HBeAg (+)
48 tuần đối với HBeAg (-).
b) LAM, ADV, ETV =< 1 năm
Theo dõi: ALT, HBeAg, AntiHBe, HBVDNA, SAB/3 tháng.
Kết thúc điều trị: (End of treatment)
a) Đối với HBeAg (+): ALT bình thường, chuyển đổi huyết thanh AntiHBe (+). HBVDNA (-) 4 lần liên tiếp.
b) Đối với HBeAg (-): AntiHBe (-) (đột biến promoter) không xác định được thời gian, điều trị cho đến khi HBsAg (-).
Sau khi ngừng điều trị theo dõi ALT, HBeAg, HBVDNA, SAB/mỗi 3 tháng năm đầu. Nếu đáp ứng bền vững, tiếp tục theo dõi mỗi 6 tháng các năm tiếp theo.
4. Viêm gan B mạn không hoạt động: (Chronic Inactive Hepetitis B)
Tiêu chuẩn: ALT =<2 lần giá trị bình thường
HBVDNA < 10.000 copies/ml đối với HBeAg (-)
< 100.000 copies/ml đối với HBeAg (+)
Điều trị: bảo vệ tế bào gan (Silymarin)
Theo dõi: ALT/1 tháng, HBeAg, AntiHBe, HBVDNA, SAB/3 tháng
* Viêm gan siêu vi B mãn tính với những tiêu chuẩn sau đây cần được điều trị:
- Có bằng chứng của bệnh gan trên lâm sàng
- Có nguy cơ bệnh tiến triển (có bằng chứng sao chép virus)
- Nhiễm HBV với biểu hiện ngoài gan (hội chứng thận hư, bệnh viêm mạch máu)
- Bệnh sử có những đợt viêm gan bùng phát
- Bệnh gan tiến triển (bệnh gan mất bù hoặc xơ gan)
- Nhiễm HBV sau khi ghép gan .
* ĐIỀU TRỊ VIÊM GAN B MÃN TÍNH THÔNG TIN HỘI NGHỊ TIÊU HÓA - GAN MẬT HOA KỲ NĂM 2007
Washington, DC. 19/05 - 24/05/2007
*.HBeAg dương tính
1 IU/ml= 5.6 copies/ml
* Điều trị nên kéo dài ít nhất 6---12 tháng sau khi HBVDNA= âm tính để hạn chế tái phát
* Điều trị nên kéo dài ít nhất 6---12 tháng sau khi HBVDNA= âm tính để hạn chế tái phát
*.HBeAg âm tính:
1 IU/ml= 5.6 copies/ml
* Điều trị nên kéo dài ít nhất 6---12 tháng sau khi HBVDNA= âm tính để hạn chế tái phát
* Điều trị nên kéo dài ít nhất 6---12 tháng sau khi HBVDNA= âm tính để hạn chế tái phát
THÔNG TIN HỘI NGHỊ TIÊU HÓA – GAN MẬT HOA KỲ - CHICAGO 30/5 - 4/06/2009
3.Bình thường hóa men gan ALT và cải thiện mô học sau 1 năm điều trị
* THÔNG TIN HỘI NGHỊ GAN MẬT HOA KỲ
San Francisco California – 31/10 - 3/11/2008
San Francisco California – 31/10 - 3/11/2008
Đa
số những bệnh nhân viêm gan B ở châu Á, châu Phi ….là lây từ mẹ, nên
nhiễm bệnh từ lúc mới sinh , khả năng nhiễm mãn tính cao. Ở những bệnh
nhân này thường đã có tổn thương gan trước khi có chuyển đổi huyết
thanh HBeAg, ngay cả xơ gan phát triển trước 25 tuổi. Sau khi có chuyển
đổi huyết thanh , ngay cả HBVDNA âm tính , bệnh vẫn có thể phát triển
với biến chứng xơ gan , ung thư gan.
Mục tiêu điều trị là làm giảm biến chứng xơ gan , ung thư gan.
Quan điểm điều trị hiện nay:
-Nếu HBeAg dương tính nên điều trị đến khi HBeAg âm tính , xuất hiện AntiHBe và HBVDNA âm tính , điều này phải đạt được 2 lần , mỗi lần cách nhau 6 tháng
- Nếu HBeAg âm tính phải điều trị đến khi HBsAg âm tính
Mục tiêu điều trị là làm giảm biến chứng xơ gan , ung thư gan.
Quan điểm điều trị hiện nay:
-Nếu HBeAg dương tính nên điều trị đến khi HBeAg âm tính , xuất hiện AntiHBe và HBVDNA âm tính , điều này phải đạt được 2 lần , mỗi lần cách nhau 6 tháng
- Nếu HBeAg âm tính phải điều trị đến khi HBsAg âm tính
C – CÁC THUỐC ĐIỀU TRỊ VIÊM GAN B:
1 – Các thuốc điều trị VGB hiện nay:
1.1. Điều hòa miễn dịch:
• Interferon (1992)
• Peg Interferon (2005)
1.2. Chất tương tự Nucleoti(si)des:
• Lamivudin 100mg (1998)
• Adefovir 10 mg (2003)
• Entecavir 0,5mg (2005)
• Telbivudin 600mg (2006)
• Tenofovir 300mg (2007)
• Clevudin 30mg (Levovir)
. Emtricitabine
. Amdoxovir
. BAM-205
. Elvucitabine
. Hepe-X-B
-Pradefovir
-Valtorcitabine
* Để tránh xuất hiện virus kháng thuốc nên điều trị kết hợp 2 loại thay vì dùng đơn độc một loại thuốc
* Adefovir ngăn ngừa sự tái nhiễm siêu vi B ở bệnh nhân viêm gan B mãn tính đề kháng Lamivudine trải qua ghép gan. Nhờ vậy ngăn ngừa siêu vi B phát triển gây tổn thuơng cho gan mới ghép.
* LB80380 là thuốc kháng virus mới , hiệu quả và dung nạp tốt , dùng tốt cho bệnh nhân viêm gan B mãn tính , đã đề kháng với Lamivudine
* Telbivudine hiệu quả trên bệnh nhân siêu vi B mãn tính , đặc biệt bệnh nhân đồng nhiễm HIV.
* Nhiều thuốc viên uống thế hệ mới làn lượt đưa vào sử dụng , giúp ngăn ngừa hiện tượng đột biến virus và đề kháng thuốc: Tenofovir, Clevudine, Pradefovir….
1.1. Điều hòa miễn dịch:
• Interferon (1992)
• Peg Interferon (2005)
1.2. Chất tương tự Nucleoti(si)des:
• Lamivudin 100mg (1998)
• Adefovir 10 mg (2003)
• Entecavir 0,5mg (2005)
• Telbivudin 600mg (2006)
• Tenofovir 300mg (2007)
• Clevudin 30mg (Levovir)
. Emtricitabine
. Amdoxovir
. BAM-205
. Elvucitabine
. Hepe-X-B
-Pradefovir
-Valtorcitabine
* Để tránh xuất hiện virus kháng thuốc nên điều trị kết hợp 2 loại thay vì dùng đơn độc một loại thuốc
* Adefovir ngăn ngừa sự tái nhiễm siêu vi B ở bệnh nhân viêm gan B mãn tính đề kháng Lamivudine trải qua ghép gan. Nhờ vậy ngăn ngừa siêu vi B phát triển gây tổn thuơng cho gan mới ghép.
* LB80380 là thuốc kháng virus mới , hiệu quả và dung nạp tốt , dùng tốt cho bệnh nhân viêm gan B mãn tính , đã đề kháng với Lamivudine
* Telbivudine hiệu quả trên bệnh nhân siêu vi B mãn tính , đặc biệt bệnh nhân đồng nhiễm HIV.
* Nhiều thuốc viên uống thế hệ mới làn lượt đưa vào sử dụng , giúp ngăn ngừa hiện tượng đột biến virus và đề kháng thuốc: Tenofovir, Clevudine, Pradefovir….
*ENTECAVIR (ETV)
Đã có những nghiên cứu về đáp ứng điều trị của ETV, đây là thuốc có khả năng ức chế men DNA polymerase của siêu vi B.Trong nghiên cứu của R.G.Gish và cộng sự , 709 bệnh nhân viêm gan siêu vi B mãn tính với HbeAg dương tính điều trị với ETV hoặc lamivudine (LVD) trong 48 tuần . Bệnh nhân gọi là đáp ứng hòan tòan khi HBVDNA<0.7 MEq/mL và HbeAg âm tính sau 48 tuần điều trị và theo dõi 24 tuần.. Người ta thấy rằng đáp ứng hòan tòan sau 48 tuần điều trị ở nhóm ETV là 21% , 19% ở nhóm LVD . Sau điều trị 24 tuần theo dõi , ở nhóm ETV 82% có đáp ứng điều trị vẫn còn duy trì tốt , ở nhóm LVD chỉ 73%. Những nghiên cứu khác cũng cho thấy rằng điều trị ETV có đáp ứng điều trị tốt ở nhóm HBeAg dương tính hay âm tính , mô học cải thiện rất nhiều. Đáp ứng điều trị tương đương nhau ở các nhóm siêu vi B , ở các vùng địa lý , chủng tôc , phái …..khác nhau.
Entecavir , thuốc kháng virus mới của công ty BMS (USA) , hiệu quả rất tốt trong điều trị viêm gan B mãn tính , đặc biệt thuốc tác dụng trên cccDNA của siêu B , hy vọng không tái phát bệnh sau khi ngưng thuốc , hiện chưa thấy có hiện tượng đề kháng thuốc.
Đã có những nghiên cứu về đáp ứng điều trị của ETV, đây là thuốc có khả năng ức chế men DNA polymerase của siêu vi B.Trong nghiên cứu của R.G.Gish và cộng sự , 709 bệnh nhân viêm gan siêu vi B mãn tính với HbeAg dương tính điều trị với ETV hoặc lamivudine (LVD) trong 48 tuần . Bệnh nhân gọi là đáp ứng hòan tòan khi HBVDNA<0.7 MEq/mL và HbeAg âm tính sau 48 tuần điều trị và theo dõi 24 tuần.. Người ta thấy rằng đáp ứng hòan tòan sau 48 tuần điều trị ở nhóm ETV là 21% , 19% ở nhóm LVD . Sau điều trị 24 tuần theo dõi , ở nhóm ETV 82% có đáp ứng điều trị vẫn còn duy trì tốt , ở nhóm LVD chỉ 73%. Những nghiên cứu khác cũng cho thấy rằng điều trị ETV có đáp ứng điều trị tốt ở nhóm HBeAg dương tính hay âm tính , mô học cải thiện rất nhiều. Đáp ứng điều trị tương đương nhau ở các nhóm siêu vi B , ở các vùng địa lý , chủng tôc , phái …..khác nhau.
Entecavir , thuốc kháng virus mới của công ty BMS (USA) , hiệu quả rất tốt trong điều trị viêm gan B mãn tính , đặc biệt thuốc tác dụng trên cccDNA của siêu B , hy vọng không tái phát bệnh sau khi ngưng thuốc , hiện chưa thấy có hiện tượng đề kháng thuốc.
*PEGINTERFERON ALFA -2a (Peg-IFN)
a/ Ảnh hưởng của những điều trị trước đó đối với hiệu quả của Peg-IFN: Những nghiên cứu cho thấy rằng bệnh nhân cho dù trước đó có điều trị interferon hay lamivudine thì đáp ứng điều trị như nhau đối với Peg-IFN
a/ Ảnh hưởng của những điều trị trước đó đối với hiệu quả của Peg-IFN: Những nghiên cứu cho thấy rằng bệnh nhân cho dù trước đó có điều trị interferon hay lamivudine thì đáp ứng điều trị như nhau đối với Peg-IFN
b/Việc ức chế virus không liên quan việc chuyển đổi huyết thanh HBeAg:
M.W.Fried và cộng sự đánh giá mối tương quan giữa đáp ứng virus và và sự chuyển đổi huyết thanh HBeAg . Nghiên cứu 814 bệnh nhân HBeAg dương tính điều trị Peg-IFN , Peg-IFN +lamivudine, Lamivudine một mình . Ở tuần thứ 48 HBVDNA âm tính 25% nhóm Peg-IFN , 69% nhóm Peg-IFN , 40% nhóm lamivudine.Tuy nhiên tỉ lệ chuyển đổi huyết thanh HBeAg ở tuần thứ 72 là 32% nhóm Peg-IFN , 27% nhóm Peg-IFN , 19% nhóm lamivudine. Như vậy sự ức chế virus không nhất thiết phải có chuyển đảo huyết thanh HBeAg.
M.W.Fried và cộng sự đánh giá mối tương quan giữa đáp ứng virus và và sự chuyển đổi huyết thanh HBeAg . Nghiên cứu 814 bệnh nhân HBeAg dương tính điều trị Peg-IFN , Peg-IFN +lamivudine, Lamivudine một mình . Ở tuần thứ 48 HBVDNA âm tính 25% nhóm Peg-IFN , 69% nhóm Peg-IFN , 40% nhóm lamivudine.Tuy nhiên tỉ lệ chuyển đổi huyết thanh HBeAg ở tuần thứ 72 là 32% nhóm Peg-IFN , 27% nhóm Peg-IFN , 19% nhóm lamivudine. Như vậy sự ức chế virus không nhất thiết phải có chuyển đảo huyết thanh HBeAg.
c/Đáp ứng bền vững sau 1 năm theo dõi
P.Marcellin và cộng sự đã theo dõi 48 tuần sau khi chấm dứt điều trị của 304 bệnh nhân viêm gan B mãn tính HBeAg dương tính điều trị với Peg-IFN ± lamivudine hoặc lamivudine một mình trong 48 tuần .Ở tuần 24 sau khi chấm dứt điều trị , tỉ lệ bệnh nhân men gan bình thường , HBVDNA <20.000 copy/ml ở nhóm Peg-IFN đặc biệt cao hơn nhóm lamivudine một mình. Ở tuần 48 sau điều trị tỉ lệ đáp ứng sinh hóa và virus cũng tương tự như tuần 24 sau điều trị ở cả 3 nhóm. Điều này cho thấy Peg-IFN cho tì lệ đáp ứng bền vững cao sau 48 tuần chấm dứt điều trị.
Peg-Interferon alfa -2a là Interferon thế hệ mới hiệu quả trong điều trị viêm gan B mãn tính cả trong trường hợp HBeAg dương tính và HBeAg âm tính , thuốc dùng điều trị thời gian ngắn ( 6---12 tháng) , ít tái phát sau khi ngưng thuốc , không có đột biến kháng thuốc ….Tuy nhiên chi phí điều trị cao .
P.Marcellin và cộng sự đã theo dõi 48 tuần sau khi chấm dứt điều trị của 304 bệnh nhân viêm gan B mãn tính HBeAg dương tính điều trị với Peg-IFN ± lamivudine hoặc lamivudine một mình trong 48 tuần .Ở tuần 24 sau khi chấm dứt điều trị , tỉ lệ bệnh nhân men gan bình thường , HBVDNA <20.000 copy/ml ở nhóm Peg-IFN đặc biệt cao hơn nhóm lamivudine một mình. Ở tuần 48 sau điều trị tỉ lệ đáp ứng sinh hóa và virus cũng tương tự như tuần 24 sau điều trị ở cả 3 nhóm. Điều này cho thấy Peg-IFN cho tì lệ đáp ứng bền vững cao sau 48 tuần chấm dứt điều trị.
Peg-Interferon alfa -2a là Interferon thế hệ mới hiệu quả trong điều trị viêm gan B mãn tính cả trong trường hợp HBeAg dương tính và HBeAg âm tính , thuốc dùng điều trị thời gian ngắn ( 6---12 tháng) , ít tái phát sau khi ngưng thuốc , không có đột biến kháng thuốc ….Tuy nhiên chi phí điều trị cao .
*ADEFOVIR DIPIVOXIL (ADV)
a/ Điều trị lâu dài ở bệnh nhân viêm gan B mãn tính HBeAg âm tính:
ADV 10mg tỏ ra hiệu quả và an tòan trong điều trị lâu dài viêm gan B mãn tính.Tỉ lệ thành công sau 96 tuần điều trị 85% . Tỉ lệ đột biến kháng thuốc sau 48 tuần điều trị 0%, sau 96 tuần 3%, sau 144 tuần 11% , sau 192 tuần 18%. Điều này cho thấy rằng ADV cho hiệu quả bền vững và tỉ lệ kháng thuốc thấp.
ADV 10mg tỏ ra hiệu quả và an tòan trong điều trị lâu dài viêm gan B mãn tính.Tỉ lệ thành công sau 96 tuần điều trị 85% . Tỉ lệ đột biến kháng thuốc sau 48 tuần điều trị 0%, sau 96 tuần 3%, sau 144 tuần 11% , sau 192 tuần 18%. Điều này cho thấy rằng ADV cho hiệu quả bền vững và tỉ lệ kháng thuốc thấp.
b/ Điều trị lâu dài ở bệnh nhân viêm gan B mãn tính HBeAg dương tính:
ADV 10mg mỗi ngày , HBVDNA âm tính sau 48 tuần điều trị 28%, 96 tuần điều trị 45%, 144 tuần điều trị 56%. Tỉ lệ bệnh nhân đột biến kháng thuốc sau 144 tuần điều trị 3,1 %. ADV an tòan và dung nạp tốt.
ADV 10mg mỗi ngày , HBVDNA âm tính sau 48 tuần điều trị 28%, 96 tuần điều trị 45%, 144 tuần điều trị 56%. Tỉ lệ bệnh nhân đột biến kháng thuốc sau 144 tuần điều trị 3,1 %. ADV an tòan và dung nạp tốt.
c/Tỉ lệ và yếu tố nguy cơ đề kháng thuốc:
Có 2 nghiên cứu đánh giá tỉ lệ và tiên đóan đề kháng thuốc ở bệnh nhân viêm gan B mãn tính điều trị ADV. Nghiên cứu của S.Locarnini , đột biến liên quan ADV là N236T tỉ lệ 15% ở tuần 192, đột biến không xuất hiện ở bệnh nhân kết hợp lamividin và ADV . Phân tích cho thấy lượng siêu vi B cao ở tuần 48 tiên đóan đột biến kháng ADV. Trong nghiên cứu S.G.Lim trung bình ở tuần 147 tỉ lệ đột biến 10% (19 bệnh nhân : 11 đột biến dạng N236T , 4 dạn A 181V , 4 dạng hổn hợp). Những bệnh nhân thường thấy HBVDNA tăng gấp 10 lần . Những bệnh nhân kết hợp lamivudine HBVDNA giảm hơn 100 lần sau 12 tuần kết hợp. Nghiên cứu cho thấy tỉ lệ kháng thuốc ở ADV giãm 4 lần so với lamivudine một mình, tì lệ đột biến giảm khi kết hợp
Có 2 nghiên cứu đánh giá tỉ lệ và tiên đóan đề kháng thuốc ở bệnh nhân viêm gan B mãn tính điều trị ADV. Nghiên cứu của S.Locarnini , đột biến liên quan ADV là N236T tỉ lệ 15% ở tuần 192, đột biến không xuất hiện ở bệnh nhân kết hợp lamividin và ADV . Phân tích cho thấy lượng siêu vi B cao ở tuần 48 tiên đóan đột biến kháng ADV. Trong nghiên cứu S.G.Lim trung bình ở tuần 147 tỉ lệ đột biến 10% (19 bệnh nhân : 11 đột biến dạng N236T , 4 dạn A 181V , 4 dạng hổn hợp). Những bệnh nhân thường thấy HBVDNA tăng gấp 10 lần . Những bệnh nhân kết hợp lamivudine HBVDNA giảm hơn 100 lần sau 12 tuần kết hợp. Nghiên cứu cho thấy tỉ lệ kháng thuốc ở ADV giãm 4 lần so với lamivudine một mình, tì lệ đột biến giảm khi kết hợp
2. Những thuốc điều trị viêm gan B hiện nay được FDA chấp nhận (Hội nghị gan mật hoa kỳ 2007)
3. Đánh giá kết quả điều trị:
+ Đáp ứng thuốc sau 24 tuần điều trị:
- Đáp ứng khi: ALT giảm trở về bình thường, HBV DNA giảm < 60 UI/ml, mất HBeAg ở những bệnh nhân (+) trước đó, HAI giảm > 2 điểm và tổng HAI < 7 điểm
- Đáp ứng hoàn toàn khi HBV DNA giảm tới mức dưới ngưỡng phát hiện =70copies/ml, hay HBV DNA giảm < 60 IU/ml HbsAg (-), HBeAg (-), Anti HBs (+)
- Đáp ứng một phần HBV DNA nằm trong khoảng 60 – 2000 UI/ml, nên xem xét đổi hoặc thêm thuốc khác
- Đáp ứng kém nếu HBV DNA > 2000UI/m, cần thay thuốc
+ Không đáp ứng: nếu sau 12 tuần điều trị NA (Nucleoside Analogue) nhưng HBV DNA giảm < 1 log10 UI/ml (không đáp ứng nguyên phát) hoặc sau 24 tuần điều trị
nhưng HBV DNA giảm < 2 log10 UI/ml, cần xem xét lại phác đồ điều trị.
+ Kháng thuốc HBV DNA tăng lên mặc dù vẫn tuân thủ điều trị NA
+ Tái phát nếu HBV DNA tăng > 1 log10 UI/ml trong huyết thanh sau khi ngừng thuốc 4 tuần ( 2000UI/ml = 104 copies/ml)
- Đáp ứng khi: ALT giảm trở về bình thường, HBV DNA giảm < 60 UI/ml, mất HBeAg ở những bệnh nhân (+) trước đó, HAI giảm > 2 điểm và tổng HAI < 7 điểm
- Đáp ứng hoàn toàn khi HBV DNA giảm tới mức dưới ngưỡng phát hiện =70copies/ml, hay HBV DNA giảm < 60 IU/ml HbsAg (-), HBeAg (-), Anti HBs (+)
- Đáp ứng một phần HBV DNA nằm trong khoảng 60 – 2000 UI/ml, nên xem xét đổi hoặc thêm thuốc khác
- Đáp ứng kém nếu HBV DNA > 2000UI/m, cần thay thuốc
+ Không đáp ứng: nếu sau 12 tuần điều trị NA (Nucleoside Analogue) nhưng HBV DNA giảm < 1 log10 UI/ml (không đáp ứng nguyên phát) hoặc sau 24 tuần điều trị
nhưng HBV DNA giảm < 2 log10 UI/ml, cần xem xét lại phác đồ điều trị.
+ Kháng thuốc HBV DNA tăng lên mặc dù vẫn tuân thủ điều trị NA
+ Tái phát nếu HBV DNA tăng > 1 log10 UI/ml trong huyết thanh sau khi ngừng thuốc 4 tuần ( 2000UI/ml = 104 copies/ml)
D– VẤN ĐỀ VIÊM GAN B KHÁNG THUỐC:
Tỉ lệ kháng thuốc theo số năm điều trị
1 - Tiêu chuẩn Viêm gan B kháng thuốc:
Tiêu chuẩn: HBVDNA tăng 1 log trong lúc đang điều trị
Điều trị: Thêm thuốc. Hoặc đổi thuốc tác dụng mạnh hơn.
Ví dụ: Kháng Lamivudin
Chọn lựa: a) Thêm IFN/Peg IFN hoặc ADV
b) Đổi ETV 1mg hoặc Tenofovir hoặc Telbivudin
Tiêu chuẩn: HBVDNA tăng 1 log trong lúc đang điều trị
Điều trị: Thêm thuốc. Hoặc đổi thuốc tác dụng mạnh hơn.
Ví dụ: Kháng Lamivudin
Chọn lựa: a) Thêm IFN/Peg IFN hoặc ADV
b) Đổi ETV 1mg hoặc Tenofovir hoặc Telbivudin
2 - HIỆU QUẢ ENTECAVIR TRONG ĐIỀU TRỊ BỆNH NHÂN BỆNH NHÂN VIÊM GAN SIÊU VI B MÃN TÍNH KHÁNG LAMIVUDINE
Entecavir là tác nhân kháng virus mới có khả năng ức chế được siêu vi B ngay cả trong trường hợp kháng Lamivudine. Vì vậy mục đích nghiên cứu của chúng tôi :
_Đánh giá hiệu quả và tính an toàn của Entecavir trong điều trị bệnh nhân viêm gan B mãn tính có bằng chứng kháng Lamivudine.
_Phân tích các yếu tố ảnh hưởng hiệu quả điều trị.
-Entecavir là tác nhân kháng virus rất mạnh mẽ ,hiệu quả hơn Lamivudine trong điều trị bệnh nhân viêm gan B mãn tính đã kháng Lamivudine.
-Entecavir rất an toàn , hầu như không có tác dụng phụ , không có bệnh nhân nào phải ngưng điều trị vì tác dụng phụ.
-Những bệnh nhân HBeAg âm tính , genotype B , lượng virus thấp dường như cho hiệu quả tốt hơn.
-Tuy nhiên còn lại vấn đề quan trọng là tái phát sau ngưng điều trị , vấn đề kháng thuốc như thế nào , chúng ta cần nghiên cứu thêm với số lượng bệnh nhân lớn hơn trong tương lai.
Entecavir là tác nhân kháng virus mới có khả năng ức chế được siêu vi B ngay cả trong trường hợp kháng Lamivudine. Vì vậy mục đích nghiên cứu của chúng tôi :
_Đánh giá hiệu quả và tính an toàn của Entecavir trong điều trị bệnh nhân viêm gan B mãn tính có bằng chứng kháng Lamivudine.
_Phân tích các yếu tố ảnh hưởng hiệu quả điều trị.
-Entecavir là tác nhân kháng virus rất mạnh mẽ ,hiệu quả hơn Lamivudine trong điều trị bệnh nhân viêm gan B mãn tính đã kháng Lamivudine.
-Entecavir rất an toàn , hầu như không có tác dụng phụ , không có bệnh nhân nào phải ngưng điều trị vì tác dụng phụ.
-Những bệnh nhân HBeAg âm tính , genotype B , lượng virus thấp dường như cho hiệu quả tốt hơn.
-Tuy nhiên còn lại vấn đề quan trọng là tái phát sau ngưng điều trị , vấn đề kháng thuốc như thế nào , chúng ta cần nghiên cứu thêm với số lượng bệnh nhân lớn hơn trong tương lai.
E – MÁY NHÂN TẠO:
Có nhiều dạng máy gan nhân tạo , nhờ máy này sẽ cứu sống được bệnh nhân trong những trường hợp nguy cấp:
- Suy gan cấp
- Xơ gan nặng
- Suy gan nặng ,ung thư gan đang chờ ghép gan
- Suy gan cấp
- Xơ gan nặng
- Suy gan nặng ,ung thư gan đang chờ ghép gan
* TÀI LIỆU THAM KHẢO
1.Thông tin từ hội nghị gan mật Hoa Kỳ - Châu Âu – Châu Á các năm 2005 đến 2009
2 – Thông tin từ: Bs. Phạm Thị Thu Thủy - Trưởng Khoa Gan Thành viên hiệp hội về tiêu hóa Hoa kỳ
3 – Sách Nội tiêu hóa AM1 – Học Viện Quân Y
4 – Bệnh học nội chung HVQY, YHN
Đăng ký:
Nhận xét (Atom)


















